虫歯治療

中之島かとう歯科の虫歯治療の方針
小さな虫歯も見落とさない
虫歯は、歯の表面に付着したプラーク(白いネバネバした細菌のかたまり)が糖を分解して酸を作り出し、その酸が歯を溶かす病気です。レントゲン画像を隅々までチェックするので、早期発見・早期治療をしましょう。
早期発見で、できる限り削らない
発見が遅れてしまうと大きな虫歯になり、歯の寿命を縮めてしまいます。普段から、こまめに歯医者に通って、放置しないことが大切です。
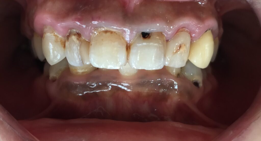
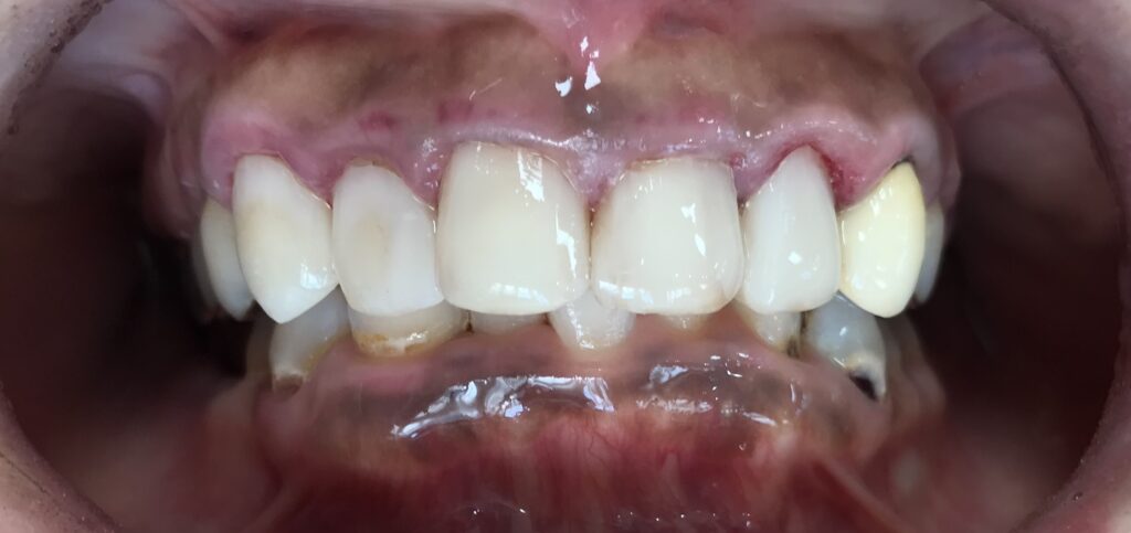
院長の症例写真
症例① 前歯の虫歯治療
前歯の虫歯を取り除き、保険の白い詰め物をすることで、1日で治しました。処置時間は30分程度です。


| 施術名 | 虫歯治療 |
| 治療期間 | 当日1日 |
| 費用 | 虫歯1本あたり約2000円(保険治療) |
| リスクや副作用 | 虫歯を削った後で歯がしみることがあります。虫歯が大きい場合には、神経をとる処置が必要な場合があります。 |
虫歯の原因について
虫歯の4大原因
砂糖が多い食べ物
糖分が細菌のエサになり、歯を溶かす原因となる酸の生成を助けます。
親から子供への虫歯菌の感染
生まれたばかりの赤ちゃんの口の中には、虫歯の原因となる菌(ミュータンス菌)はいません。3歳くらいまでの間に、コップやお箸などの共有や愛情表現のキスなどで大人から子供に菌が感染します。
磨き残し
適切な歯磨きを怠ると、プラークが蓄積し虫歯が進行します。
歯の質
歯の強さや唾液の質によって、一人ひとりの歯のリスクは異なります。
虫歯の進行度と治療解説
虫歯の段階(C1~C4)により治療法が異なります。
C1(歯の表面の虫歯)
特徴
- 見た目は小さな黒い点。虫歯菌が歯の表面(エナメル質)にとどまっている状態です
- 痛みはないです
- 自然治癒することはないです
治療内容
- 虫歯を最小限にを削って、白い詰め物(レジン)をします。
- その日で治療が終わり、見た目も自分の歯とほとんど変わりません。
- 歯を削らず、フッ素塗布などの予防処置で進行抑制ことも可能です。

治療の流れ
実際に鏡を見ながら、患者さんと一緒に虫歯(黒い点)を確認します。
麻酔なしでも痛くない場合が多いですが、希望があれば麻酔をします。歯1本あたりの処置時間は5分ほどです。
治した部分を実際に患者さんにも見せて、治ったのを確認してもらいます。
C2(深くまで進行した虫歯)
特徴
- 黒くなっている部分が、歯の深く(象牙質)まで進行した虫歯です
- 冷たいものや甘いものがしみます
- 口臭の原因にもなります
治療内容
- 虫歯を削り、白い詰め物(レジン)で治します。
- 虫歯が大きい場合には、削った後に被せ物(白い被せ物や銀歯)します。

治療の流れ
実際に鏡を見ながら、患者さんと一緒に虫歯(黒い部分)を確認します。
基本的には、処置中に痛むことがあるので、軽い麻酔をします。痛みそうな気がしたらすぐに麻酔を追加しますので、遠慮せずに仰って下さい。
虫歯の範囲が小さいなら白い詰め物で、範囲が大きいなら被せ物(白い歯コンポジッ トレジンまたはインレーや銀歯)で治します。治療回数は1〜2回です。
噛み合わせの調整を行います。
治した部分を実際に患者さんにも見せて確認してもらいます。
C3(神経まで進行した虫歯)
特徴
- 見た目は黒く、歯に穴があき、神経まで到達した状態
- 冷たいもの、温かいものがしみます
- ズキズキ痛む、頭痛がします
- ロキソニンなどの痛み止めが必要なくらいの強い痛みがでることがあります
- 噛むと歯が痛みます
治療内容
- 歯の根の治療(根管治療)を行います。
- 根の治療が終わったら、被せ物(白い被せ物や銀歯)をします。

治療の流れ
実際に鏡を見ながら、患者さんと一緒に虫歯(黒い部分)を確認します。
痛くないようにしっかり麻酔を効かせます。
虫歯を削って、神経を抜きます。
歯の根の殺菌消毒を2,3回ほど繰り返し、根の状態を安定させます。
歯の根の治療が終わったら、被せ物(白い歯や銀歯)をつくって、しっかり噛めるように調整します。
治した部分を実際に患者さんにも見せて確認してもらいます。
C4(ほとんど歯が残っていない虫歯)
特徴
- 大部分の歯が欠けて放置された状態です
- 歯の根っこに膿がたまっていると、痛みがでます。
- 歯の神経が死んでいて、痛みがでないこともあります。
治療内容
- 残念ながら、基本的には抜歯になります。
- 抜歯後は、入れ歯、ブリッジ、インプラントなどでしっかり噛めるようにします。

