ブリッジ治療 (保険/自費)

歯を失ってしまった方へ
治療方法
ブリッジとは、失った歯の両隣の歯を柱(土台)とすることで、ダミーの歯を作り噛めるようにする治療方法です。見た目が、あたかも橋をかけた様に見えるので、ブリッジ(橋)と呼びます。入れ歯と比較すると、取り外しする必要がなく、基本的に不自由なく食事が可能です。
院長の症例写真
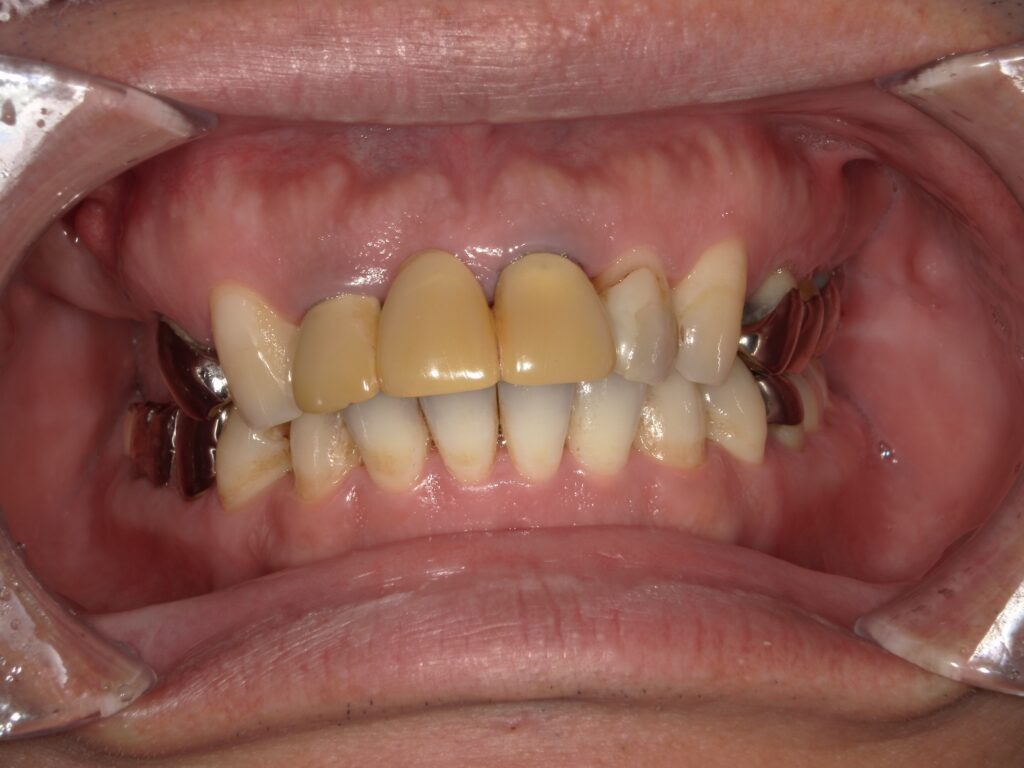
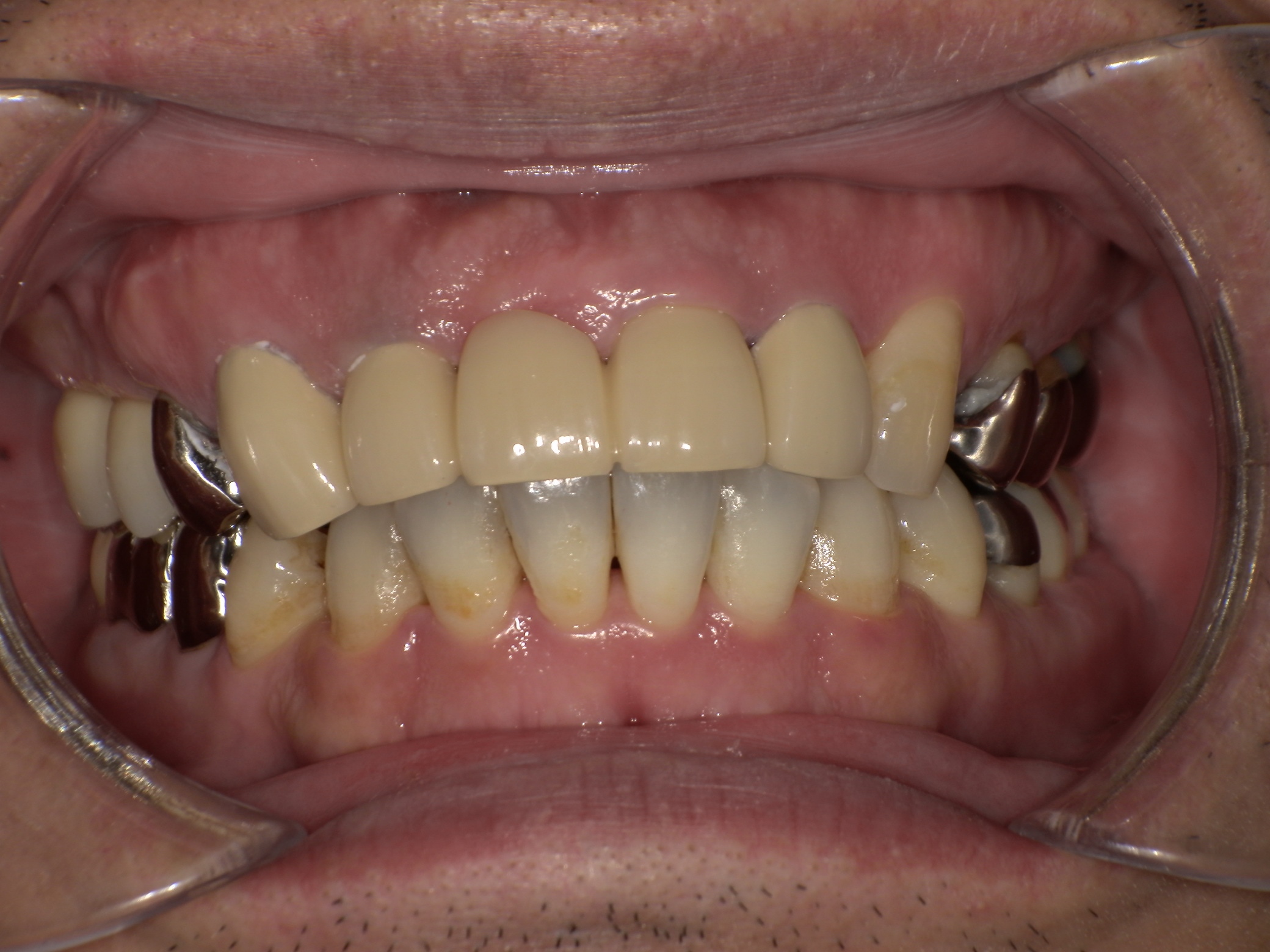
① 50代男性 変色した前歯のブリッジを白い歯へ
数年前に入れたブリッジが黄色く変色しており、新しく前歯のブリッジをやり替えました。保険適用でも前歯を白くすることが可能です。


| 施術名 | ブリッジ(5歯分) |
| 治療期間 | 約1ヶ月 |
| 費用 | 保険適用 約3万円 |
| リスクや副作用 | ブリッジを作るために歯を削るので、歯がしみたり、必要に応じて神経をとる場合あります。ブリッジをつけることで一時的なかみ合わせの違和感がでることがあります。 |
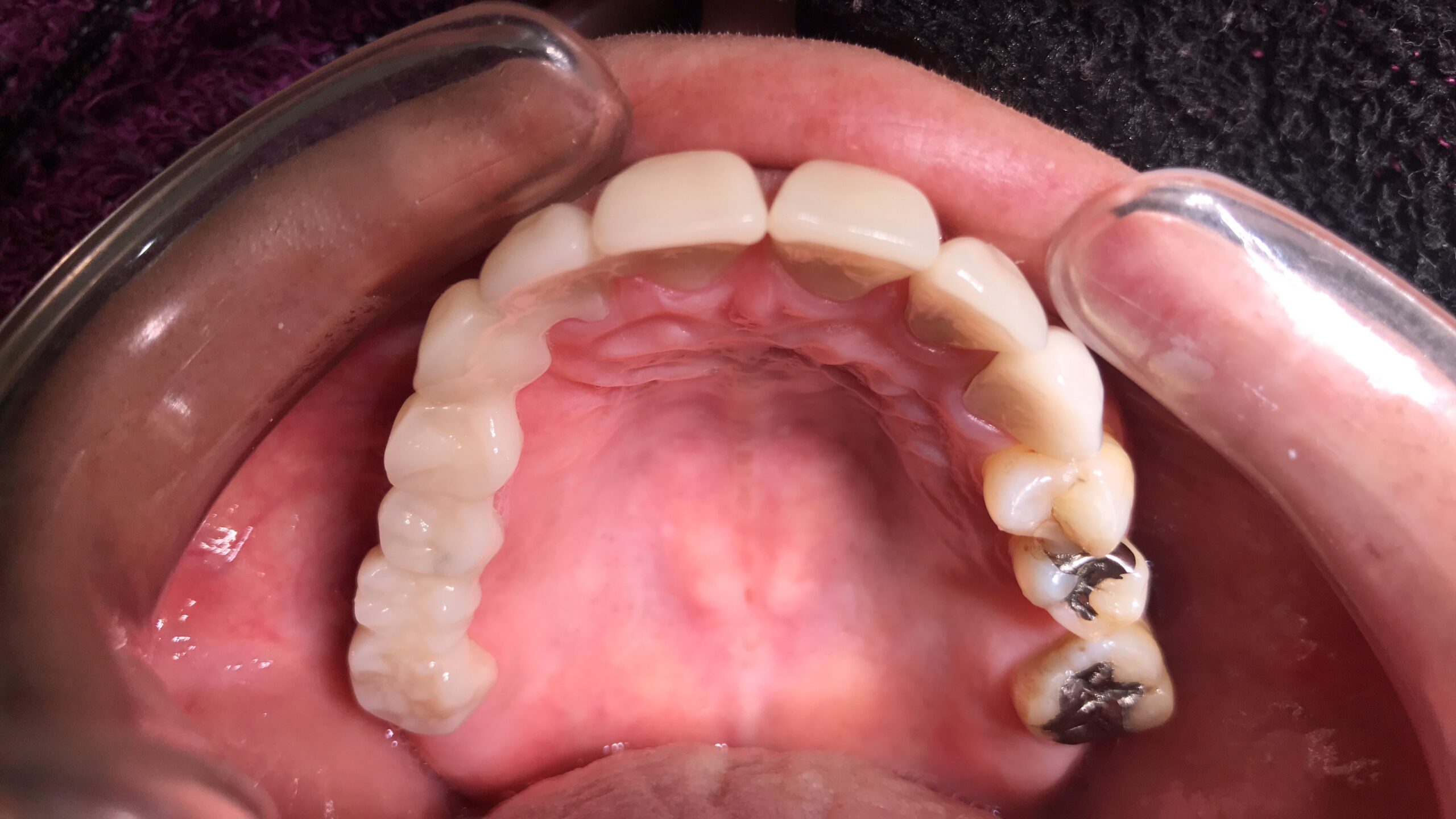
② 40代女性 金属アレルギーの銀歯からセラミックへ
金属アレルギーの心配から、10歯分の古い銀歯のブリッジを外して、セラミックのブリッジにやり替えました。


| 施術名 | セラミックのブリッジ(10歯分) |
| 治療期間 | 約2ヶ月 |
| 費用 | 約80万円(当院価格) |
| リスクや副作用 | ブリッジを作るために歯を削るので、歯がしみたり、必要に応じて神経をとる場合あります。ブリッジをつけることで一時的なかみ合わせの違和感がでることがあります。 |