セラミック矯正
最短2回で歯並びが治せる!!最高品質のジルコニアを使用
セラミック矯正のメリット
歯並びをキレイにする方法に、セラミック矯正があります。セラミック矯正とは、通常の歯科矯正(ワイヤー矯正、マウスピース矯正)と違い、歯にセラミックを被せることで、歯並びを整える治療方法です。
2ヶ月程度と短期間で治療が完了し、歯の白さも明るく出来ます。また、歯を小さくしたり大きくしたり、歯に丸みをもたせたり、尖らせたりと歯の形も変えられます。
セラミック矯正のデメリット
かぶせものを付けるため、必要最小限ですが、歯を削らないといけません。歯を削り、好きな形や大きさのセラミックを、綺麗な角度に調整しながらセットできます。
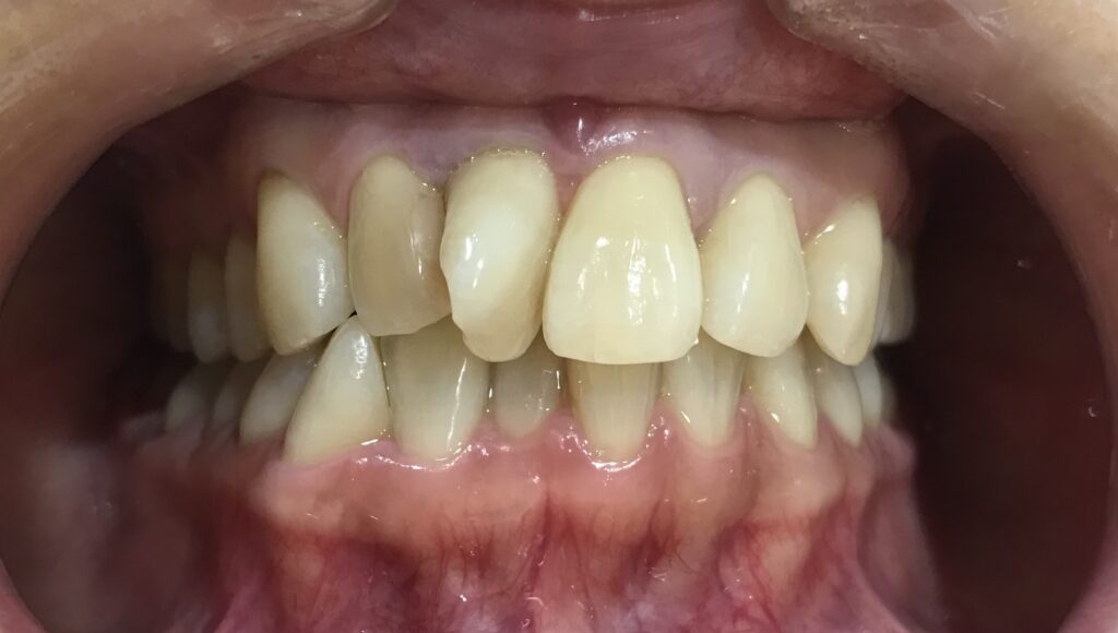
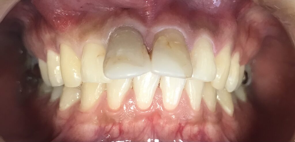
院長の症例写真
20代女性① ガタついた歯にセラミック矯正
コンプレックスだった前歯の大きさとを、歯を小さくして丸みをつけることで女性らしい歯にし、同時に、歯並びもキレイに仕上げました。ホワイトニングも併用して歯の白さもトーンアップしています。


| 施術名 | セラミック矯正 |
| 治療期間 | 約2ヶ月 |
| 費用 | 約32万(当院価格) |
| リスクや副作用 | 歯が並びが変わることでかみ合わせに一時的な違和感を生じることがあります。歯を削ることで歯がしみたり、場合によっては神経をとることがあります。また、セラミックが欠けたり外れたりする可能性があります。 |
30代女性② ねじれた歯にセラミック矯正
コンプレックスだった前歯のねじれを、セラミックを4本被せることで歯並びをキレイに並べました。ホワイトニングも併用しているので歯の白さも明るくなっています。


| 施術名 | セラミック矯正 |
| 治療期間 | 約2ヶ月 |
| 費用 | 約32万(当院価格) |
| リスクや副作用 | 歯が並びが変わることでかみ合わせに一時的な違和感を生じることがあります。歯を削ることで歯がしみたり、場合によっては神経をとることがあります。また、セラミックが欠けたり外れたりする可能性があります。 |
30代男性③ すきっ歯にセラミック矯正
セラミックを4本被せることですきっ歯を改善しました。歯の色(シェード)で見比べ、ホワイトニングも併用し、歯の白さも明るくなっています。



| 施術名 | セラミック矯正 |
| 治療期間 | 約2ヶ月 |
| 費用 | 約32万(当院価格) |
| リスクや副作用 | 歯が並びが変わることでかみ合わせに一時的な違和感を生じることがあります。歯を削ることで歯がしみたり、場合によっては神経をとることがあります。また、セラミックが欠けたり外れたりする可能性があります。 |
20代男性④ 神経の死んでしまった歯にセラミック矯正
神経が死んでしまった前歯に対して、4本のセラミックで歯並びと白さを改善しました。ホワイトニングも途中で併用しています。



| 施術名 | セラミック矯正 |
| 治療期間 | 約2ヶ月 |
| 費用 | 約32万(当院価格) |
| リスクや副作用 | 歯が並びが変わることでかみ合わせに一時的な違和感を生じることがあります。歯を削ることで歯がしみたり、場合によっては神経をとることがあります。また、セラミックが欠けたり外れたりする可能性があります。 |
60代男性⑤ 多数の虫歯にセラミック矯正
虫歯を1本1本しっかり治して、前歯に12本のセラミックを被せ、歯並びも整えました。
ホワイトニングも併用し、若々しい口元となっています。


| 施術名 | セラミック矯正 |
| 治療期間 | 約6ヶ月 |
| 費用 | 約96万(当院価格) |
| リスクや副作用 | 歯が並びが変わることでかみ合わせに一時的な違和感を生じることがあります。歯を削ることで歯がしみたり、場合によっては神経をとることがあります。また、セラミックが欠けたり外れたりする可能性があります。 |
|新福島中之島かとう歯科の価格表
